Ένας 10χρονος κατάφερε να νικήσει τον καρκίνο και να ξεπεράσει το προσδόκιμο ζωής που του είχαν ορίσει οι γιατροί όταν τον διέγνωσαν.
Μία μεγάλη μάχη με τον καρκίνο έδωσε ένας 10χρονος από το Λιντς της Αγγλίας και η ιστορία του κάνει τον γύρω του διαδικτύου. Παρόλο που η αρχική διάγνωση του έδινε 18 μήνες ζωής, ο νεαρός Ντάνιελ Μόρτον κατάφερε να παλέψει με την ασθένεια.
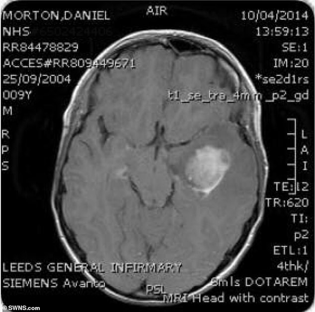
Το 2014 όταν ήταν μόλις 10 ετών διαγνώστηκε με όγκο στο κεφάλι. Ο μικρός Μόρτον έκανε χειρουργείο διάρκειας 11 ωρών για να του τον αφαιρέσουν. Δέκα μέρες αργότερα, του έκαναν επαναληπτικές εξετάσεις, ώστε να δουν την κατάσταση της υγείας του και οι γιατροί διαπίστωσαν ότι το μέγεθος του όγκου μεγάλωνε συνεχώς. Έτσι οι γιατροί εκτιμούσαν ότι αγόρι δεν θα είχε περισσότερο από 18 μήνες ζωής….

Έναν μήνα αργότερα, η οικογένεια του Ντάνιελ επικοινώνησε με μια ερευνητική ομάδα στη Γαλλία, κάνοντας μια τελευταία προσπάθεια για να σώσουν το παιδί. Οι νέες εξετάσεις έδειξαν ότι ο Ντάνιελ δεν είχε φτάσει ακόμη σε τελικό στάδιο. Τα αποτελέσματα των εξετάσεων που έδωσαν μια νέα ελπίδα στον Ντάνιελ και την οικογένειά του, επιβεβαιώθηκαν και από τους γιατρούς του νοσοκομείου Great Ormond Street Hospital….
Ο 10χρονος που εμφάνιζε νέους όγκους
Σχεδόν τρεις μήνες αργότερα, εμφανίστηκε ένας νέος όγκος, ο οποίος αφαιρέθηκε τον Νοέμβριο του 2014. Για τα επόμενα δυο χρόνια ο 10χρονος δεν εμφάνισε κάποιο νέο όγκο και οι οικογένειά του πίστευε ότι η περιπέτεια της υγείας του είχε τελειώσει. Όμως, το 2016 ένας ακόμη όγκος εμφανίστηκε στον εγκέφαλο του παιδιού. Έτσι, υποβλήθηκε και σε άλλο χειρουργείο, που όμως του προκάλεσε κάποιο πρόβλημα στα νεύρα της δεξιάς πλευράς του εγκεφάλου. Ο Ντάνιελ Μόρτον πέρασε ακόμη δυο χρόνια «καθαρός» μέχρι που τον Νοέμβριο του 2018 οι γιατροί εντόπισαν και τέταρτο όγκο, ο οποίος επίσης αφαιρέθηκε….

Τα αποτελέσματα των εξετάσεων για τους όγκους του 15χρονου πλέον Ντάνιελ έδειξαν πως η διάγνωση θανάτου του Ντάνιελ, θα μπορούσε μια και καλή να αντιστραφεί. «Δεν μπορώ να μεταφέρω με λόγια το πως είναι να νιώθεις όταν σου λένε ότι το παιδί σου πεθαίνει. Είχαμε ακόμα 18 μήνες μαζί του. Θυμάμαι τον εαυτό μου να γυρίζω από το ιατρείο, μετά την πρώτη διάγνωση, να ξαπλώνω στο κρεβάτι και να σχεδιάζω την κηδεία του παιδιού μου. Σκεφτόμουν τα τραγούδια που θα παίξουν στην τελετή. Την επόμενη μέρα, όμως, ξύπνησε με εντελώς καλύτερη διάθεση. Είπα στον εαυτό μου ότι πρέπει να κάνω αυτό που πρέπει», είπε χαρακτηριστικά, η μητέρα του, Τόνι Πιρς….

Φέτος ο άλλοτε 10χρονος Ντάνιελ, για πρώτη φορά από το 2010, κατάφερε να επιστρέψει στο σχολείο και να παρακολουθεί κανονικά τα μαθήματα όπως όλα τα παιδιά της ηλικίας του. Εξαιτίας του προβλήματος που έπαθε στο νευρικό του σύστημα ο Ντάνιελ πρέπει να μάθει να γράφει με το αριστερό χέρι. Ωστόσο, όπως δήλωσε, θα κάνει τα πάντα για να γίνει αυτό που ονειρεύεται, ένας μεγάλος αρχιτέκτονας….







