Μια οικογένεια στην Κρήτη έζησε μια περιπέτεια το τελευταίο βράδυ του 2023, καθώς το 4χρονο παιδί τους κατάπιε ακούσια ένα κέρμα λίγες ώρες πριν την αλλαγή της χρονιάς. Οι γονείς αντιλήφθηκαν γρήγορα το περιστατικό και μετέφεραν εσπευσμένα το παιδί στο νοσοκομείο του Ηρακλείου.
Ο μικρός, υπό αδιευκρίνιστες συνθήκες, είχε καταπιεί το κέρμα, και οι γονείς όταν το κατάλαβαν, έσπευσαν στο νοσοκομείο. Το παιδί, παρότι δυσκολευόταν να αναπνεύσει, διατηρούσε τις αισθήσεις του.
Άμεση η βοήθεια των γιατρών στο 4χρονο παιδί:
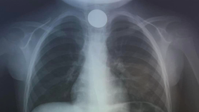
Κατά την άφιξη στο ΠΑΓΝΗ, οι γιατροί προχώρησαν αμέσως σε ακτινογραφία για να εντοπίσουν τη θέση του νομίσματος και στη συνέχεια προχώρησαν στην επείγουσα αφαίρεσή του. Με γρήγορη επέμβαση, οι γιατροί αντιμετώπισαν επιτυχώς την κατάσταση, επιλύοντας γρήγορα το πρόβλημα.
Μέσω ανάρτησης της Ωτορινολαρυγγολογικής Κλινικής του νοσοκομείου, το περιστατικό κοινοποιήθηκε μαζί με ευχές για μια καλή χρονιά: “Αποχαιρετάμε το 2023 με επείγουσα αφαίρεση σε κατάποση κέρματος σε 4χρονο. Καλή Χρονιά”.
Ακολουθεί η ανάρτηση:






